Ο καρκίνος του πνεύμονα εξακολουθεί να αποτελεί την πρώτη αιτία κακοήθειας στην Ελλάδα. Στο πλαίσιο της νόσου, διακρίνεται μια ιδιαίτερη κατηγορία, οι λεγόμενοι «μεγάλοι όγκοι», με διάμετρο >7 εκ. Οι όγκοι αυτοί παρουσιάζουν ιδιομορφίες, καθώς συχνά προκαλούν έμμεσα συμπτώματα λόγω πίεσης γειτονικών οργάνων περισσότερο, που προκύπτει από το μέγεθός τους, παρά λόγω διηθητικής συμπεριφοράς.
Οι μεγάλοι όγκοι πάνω από 7εκ. διάμετρο με απομακρυσμένες μεταστάσεις δεν έχουν ιδιαίτερο προσδόκιμο. Παρά την εντυπωσιακή τους μάζα, όμως, δεν είναι σπάνιο να διαπιστώνεται απουσία απομακρυσμένων μεταστάσεων, που μπορεί να υποδηλώνει χαμηλότερη διηθητικότητα. Δηλαδή, παρά το γεγονός ότι έφτασε σε μεγάλο μέγεθος, δεν κατέστη δυνατό να μπουν κύτταρά του στην κυκλοφορία και να προκαλέσουν μετάσταση. Επομένως, είναι μάλλον ένας όγκος, ο οποίος δεν είναι ιδιαίτερα διηθητικός, κάτι που μας επιτρέπει να ελπίζουμε.
Ασφαλώς και υπάρχουν πολλά τέτοια περιστατικά, τα οποία έχουν καλή προοπτική μόνο με έναν τρόπο: να δούμε κάθε ένα χωριστά με τα δικά του χαρακτηριστικά και να χαράξουμε στρατηγική αντιμετώπισης. Σε αυτές τις περιπτώσεις, η θεραπευτική προσέγγιση πρέπει να είναι εξατομικευμένη.
Κλινικές εκδηλώσεις
Ένας «μεγάλος όγκος πνεύμονος» χωρίς μεταστάσεις μπορεί να καταδικάσει έναν ασθενή λόγω πίεσης σε «ευγενή» όργανα, όπως είναι:
- η τραχεία, οπότε προκαλείται δύσπνοια,
- ο οισοφάγος, οπότε προκαλείται δυσκαταποσία,
- η καρδιά, οπότε προκαλείται αρρυθμία,
- το θωρακικό τοίχωμα, προκαλώντας πόνο και δύσπνοια.
Ένας «μεγάλος όγκος πνεύμονος» μπορεί επίσης να προκαλέσει υγρό στον πνεύμονα, όχι καρκινικής φύσης, αλλά από προβλήματα κυκλοφορίας που προκαλεί. Τέλος, ένας μεγάλος όγκος μπορεί να νεκρωθεί στο κέντρο του και να δημιουργηθεί απόστημα και στη συνέχεια σηψαιμία και να κινδυνεύσει ο ασθενής από αυτό.
Διαγνωστικές «προκλήσεις»
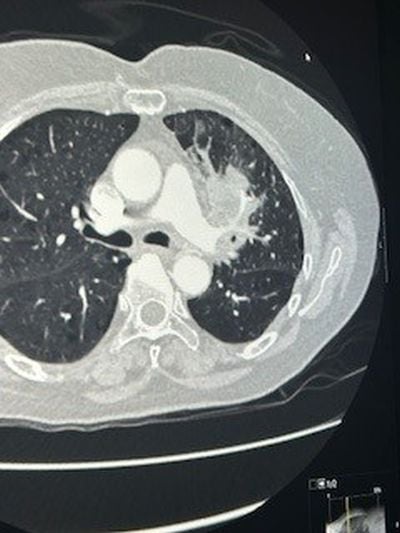
Στις φωτογραφίες 1 και 2 φαίνεται μεγάλος όγκος αριστερού πνεύμονος που εμφάνισε απόστημα και σηψαιμία. Οι λεμφαδένες που κατεγράφησαν στην αξονική και στο Pet Scan χαρακτηρίστηκαν καρκινικοί λεμφαδένες και το περιστατικό είχε χαρακτηριστεί ανεγχείρητο. Μια γενναία απόφαση της ομάδας μας, οδήγησε τον ασθενή σε αριστερή πνευμονεκτομή, όλοι οι λεμφαδένες ήταν αρνητικοί για κακοήθεια (ήταν έντονα φλεγμονώδεις και έδιναν ψευδή εικόνα) και κανένα από τα υπόλοιπα όργανα δεν είχαν διηθηθεί παρά τη γειτνίαση με τον όγκο (αορτή, μεσοθωράκιο, τραχεία). Η ασθενής είναι σε άριστη κατάσταση και είναι σε πρώτο κύκλο χημειοθεραπείας.

Η εμπειρία μάς οδηγεί να εξατομικεύουμε κάθε περιστατικό «μεγάλου όγκου πνεύμονος», να είμαστε επιφυλακτικοί με τις απεικονιστικές εκτιμήσεις και να έχουμε πάντα στο μυαλό μας ότι ένας μεγάλος όγκος, αν μπορεί να αφαιρεθεί είναι σωστό, διότι αν αυξηθεί και άλλο μπορεί να προκαλέσει μεγάλα προβλήματα από πίεση και μόνο.
Η βιοψία καλό είναι να προκύπτει με παρακέντηση υπό αξονικό τομογράφο, ώστε να έχουμε μεγάλο κομμάτι για όλων των ειδών τις μελέτες.
Θεραπευτική στρατηγική
Η τυπική προσέγγιση περιλαμβάνει:
- 2–3 κύκλους νεοεπικουρικής χημειοθεραπείας με στόχο τη μείωση του όγκου, ακολουθούμενους από χειρουργική εξαίρεση, συνήθως με πνευμονεκτομή.
- Μερικές φορές, όταν είναι εφικτό προχωράμε σε άμεσο χειρουργείο όταν η πίεση σε ευγενή όργανα είναι μεγάλη.
Η λήψη αποφάσεων πρέπει να γίνεται πολυπαραγοντικά και σε στενή συνεργασία θωρακοχειρουργού και ογκολόγου. Παρά τον υψηλό βαθμό δυσκολίας, η εμπειρία δείχνει ότι ακόμη και όγκοι με μεγάλη διάμετρο μπορεί να αφαιρεθούν ριζικά, προσφέροντας σημαντικό όφελος στον ασθενή.
Γενικώς οι «μεγάλοι όγκοι πνεύμονος» αποτελούν ξεχωριστή οντότητα με κλινικές και διαγνωστικές ιδιαιτερότητες, απαιτούν ομαδική κάλυψη (θωρακοχειρουργός και ογκολόγος) και σοβαρές αποφάσεις για μεγάλες επεμβάσεις. Η προσεκτική αξιολόγηση κάθε περιστατικού, η εξατομικευμένη στρατηγική και η συνεργασία πολυεπιστημονικής ομάδας είναι καθοριστικής σημασίας για την πρόγνωση.
O Κωνσταντίνος Μαρκόπουλος, Θωρακοχειρουργός – Αγγειοχειρουργός και Διευθυντής Κλινικής Ιατρικού Κέντρου Ψυχικού είναι στη διάθεσή σας στο 693 747 4174για υπεύθυνη ενημέρωση και περαιτέρω πληροφόρηση πάνω στο θέμα. Εναλλακτικά επισκεφτείτε την ιστοσελίδα www.drmarkopoulos.gr


